FOLLISCAN: Increase IVF throughput and accuracy with AI-assisted ultrasound analysis
FOLLISCAN: Increase IVF throughput and accuracy with AI-assisted ultrasound analysis
Cut scan times, standardise follicle measurements, and expand capacity—without adding new staff or equipment.
What it delivers
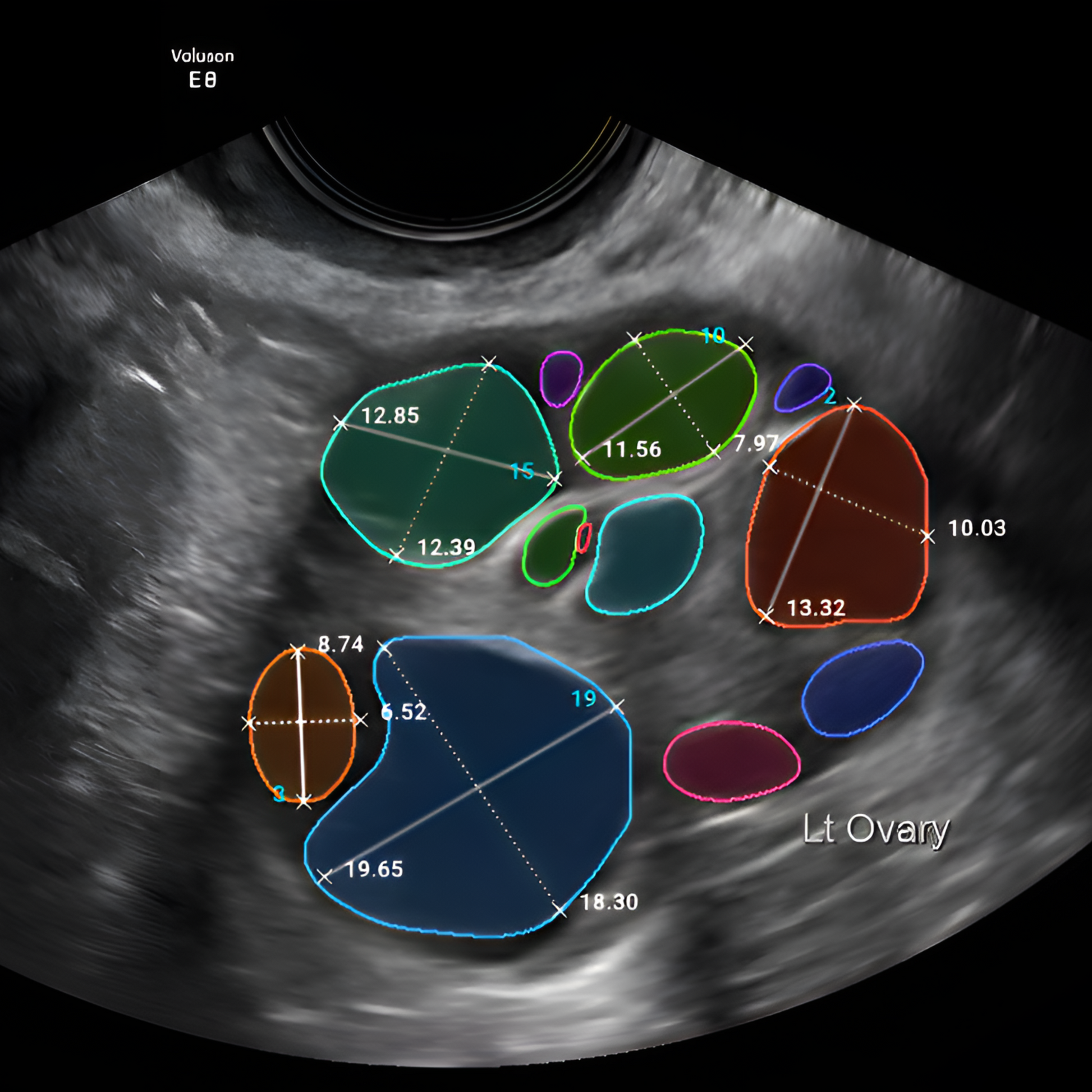
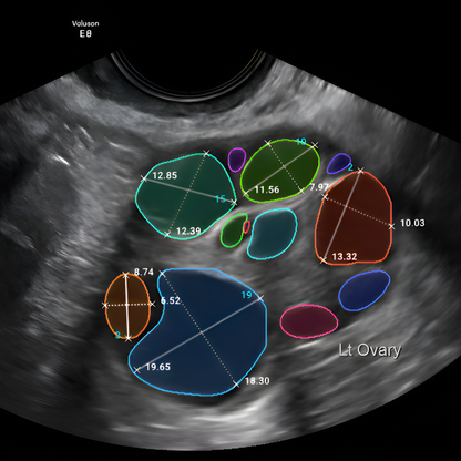
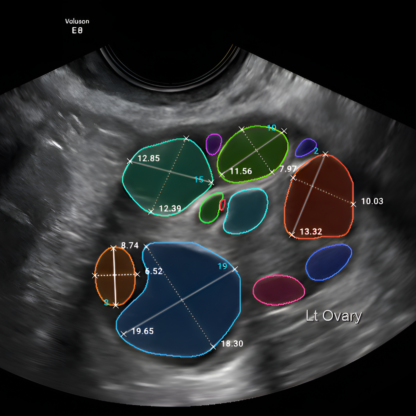
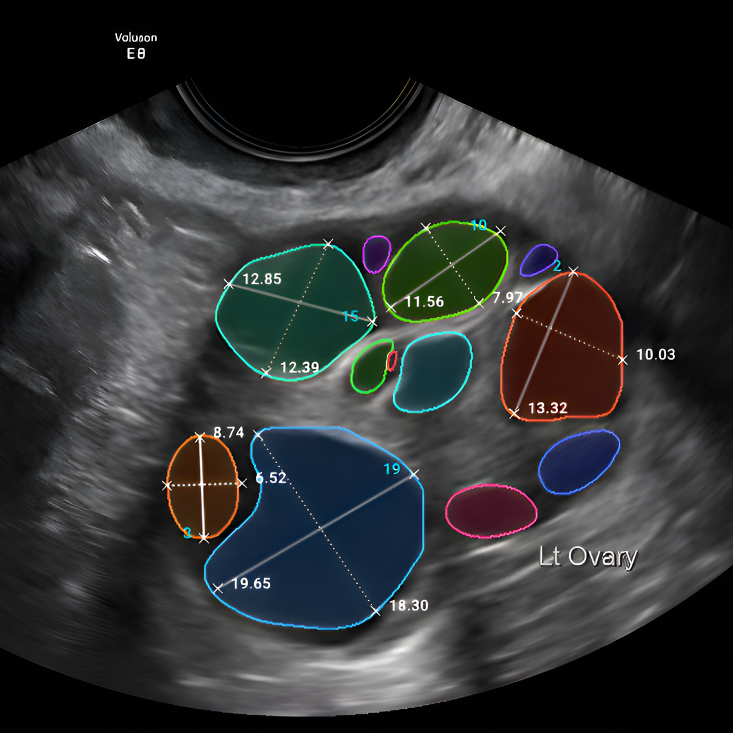
- Real-time follicle measurement directly from cine loops—no manual counting.
- Standardised data across all practitioners and ultrasound systems.
- Instant reports in PDF or video format for patient engagement and compliance.
- Seamless EMR/worklist integration for traceable, auditable records.
Operational benefits
- Productivity: Treat more patients with the same staff.
- Consistency: Objective results reduce errors and repeat scans.
- Training: AI guidance enables junior staff to scan confidently.
- Scalability: Deployable across multiple sites or satellite clinics.
- Cost control: Lower training overhead and better utilisation of ultrasound assets.
Compliance and assurance
CE (MDR) certified for Europe • ISO 13485 QMS • GDPR/HIPAA data governance • TGA approved • FDA submission pending.
Validated in clinical settings with 97% measurement accuracy.
Return on investment
FOLLISCAN typically saves several minutes per ultrasound session, allowing for more cycles per day.
By standardising results, it reduces human error, improves audit readiness, and enhances patient satisfaction through clear, shareable visuals.
FAQs
What ultrasound systems does FOLLISCAN support? FOLLISCAN is machine-agnostic and works with major ultrasound vendors in both 2D and 3D modes.
What do the outputs look like? An automatic folliculogram with counts and volumes, plus shareable PDF and optional video reports.
What about data protection? FOLLISCAN follows GDPR and HIPAA principles; a detailed security overview and DPA are available.
What is the regulatory status? CE (MDR) in the EU with ISO 13485 QMS; TGA approved in Australia; FDA submission pending in the USA.
How fast can we go live? We align with your IT setup and EMR. Onboarding and training are included to get your team confident quickly.
Recent abstract:
Fertility & Sterility: Volume 122, Issue 4, Supplement, e144, October 2024
Share
